在骨科手术室里,全髋关节置换术(Total Hip Arthroplasty, THA)是一项极具代表性的手术。它通过植入人工关节,帮助无数股骨头坏死、髋关节骨性关节炎或股骨颈骨折的患者重获行走能力,摆脱疼痛。然而,手术过程中有一个看似不起眼的环节:医生会将病变的股骨头截下,以便安装人工假体。
在过去,这块被截下的股骨头往往被视为“医疗废弃物”,最终归宿是焚烧炉或填埋场。但随着医学技术的发展和再生医学理念的深入,这块“废骨”的命运发生了翻天覆地的变化。它不再是无用的废料,而是蕴含着巨大临床价值、科研潜力和社会意义的宝贵资源。
1临床治疗的“黄金储备”:自体骨移植
截取下来的股骨头,最直接且最重要的价值在于其作为自体骨的来源。
在骨科临床中,骨缺损是一个棘手的难题。无论是骨肿瘤切除后的重建、复杂的关节翻修手术,还是严重的脊柱融合术,都需要大量的骨材料来填充缺损、促进愈合。自体骨移植(取患者自己的髂骨等)虽然是“金标准”,但存在取骨量有限、取骨部位疼痛、感染及失血等并发症风险。
此时,来自THA手术的股骨头便成为了完美的自体骨来源。
随着人口老龄化趋势加剧与人民生活水平不断提高,接受全髋关节置换术(THA)的患者数量持续上升,术中随之产生大量可供利用的自体骨组织。
在安全性方面,这些股骨头经过自体骨组织库严格的筛查(排除传染病、恶性肿瘤等风险),并通过深低温冷冻保存以及辐照灭菌处理,可在患者需要时安全回植入其体内,且完全避免排异反应。
对于那些急需骨移植却无法取自体骨的患者来说,这块小小的股骨头,就是重建肢体功能、甚至挽救生命的“黄金储备”。
据相关统计,全球每年进行的骨移植手术超过200万例,且需求量正以每年约10%的速度增长。THA术中截取的股骨头,正是填补这一巨大需求缺口的关键力量。
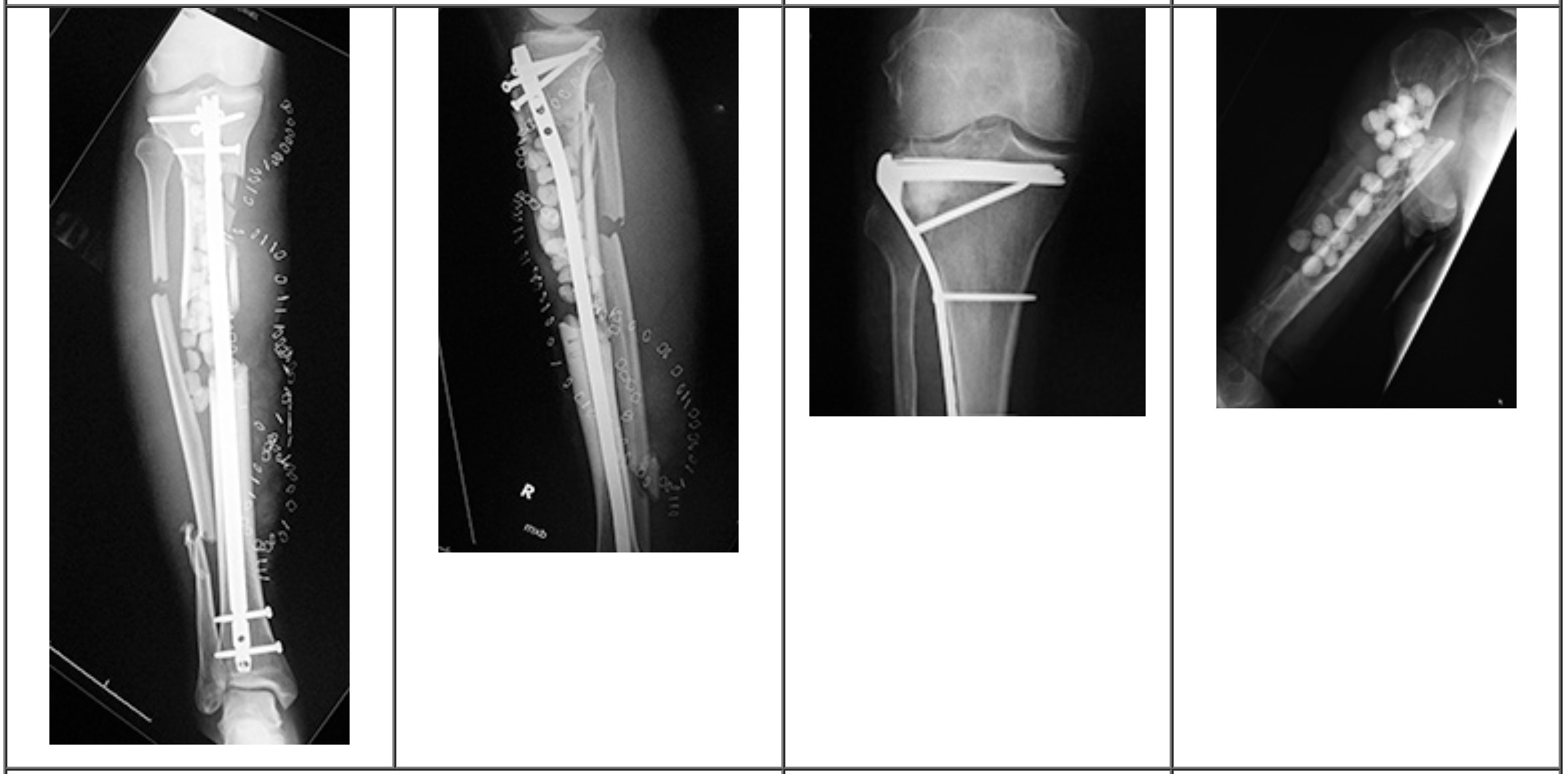
翻修手术中的“地基”重建
随着人工关节置换术的普及,关节翻修手术的数量也在逐年上升。在髋关节或膝关节翻修术中,医生常面临严重的骨量丢失(骨溶解)。

股骨头经过特殊的加工(如制成骨颗粒或骨条),可以通过打压植骨技术(Impaction Bone Grafting)填充在髋臼或股骨侧的骨缺损处。
脊柱融合术的“桥梁”搭建
脊柱侧弯矫形、腰椎滑脱或椎管狭窄手术中,脊柱融合是治疗的关键。

医生将处理后的股骨头修剪成适合椎间隙大小的骨块,或者将其粉碎后填充在椎间融合器(Cage)内。
骨肿瘤切除后的“肢体保全”
在骨肉瘤或巨细胞瘤等骨肿瘤切除术中,为了保全患者肢体,往往需要切除大段骨骼。

对于良性骨肿瘤刮除后留下的巨大空腔,股骨头制成的冻干骨不仅能填充空腔,防止病理性骨折,还能提供足够的力学支撑。
创伤骨科的“急救包”
在严重车祸或高处坠落导致的粉碎性骨折中,常伴有骨质缺损。

例如在胫骨平台骨折或跟骨骨折中,关节面的塌陷需要植骨支撑。此时,库存的股骨头可以随时取用,无需额外增加手术时间去取自体骨,对于缩短危重患者的手术时间、减少出血量具有至关重要的意义。
总结而言,这块曾经的“废弃之骨”,在经过自体骨组织库严格的筛选(排除HIV、乙肝、丙肝及梅毒等传染病)、深低温冷冻(-196℃液氮保存)、辐照灭菌处理后,变成了一种极为安全的生物材料。它不仅解决了自体取骨量有限的瓶颈,更为无数面临截肢风险或严重功能障碍的患者提供了再生的希望。
2病理机制的活教材
除了直接用于临床移植,截取的股骨头还是医学科研无法替代的“标本库”。
许多接受THA手术的患者患有股骨头缺血性坏死(ONFH)或骨关节炎(OA)。截下的股骨头完整保留了疾病发生、发展的病理痕迹。
l 病理学研究
l 生物力学测试
l 药物研发
可以说,每一块被截下的病变股骨头,都是一本打开的教科书,记录着疾病的秘密,指引着未来治疗方案的突破方向。
3再生医学的“种子库”
近年来,再生医学的兴起赋予了废弃股骨头新的使命。研究发现,股骨头的骨髓腔内富含间充质干细胞(BMSCs)。

间充质干细胞具有强大的多向分化潜能,不仅能分化为成骨细胞(生成骨骼),还能分化为软骨细胞、脂肪细胞甚至神经细胞。虽然病变股骨头中的干细胞活性可能不如健康人,但通过现代生物技术的分离、纯化和扩增,科学家们依然能从中获得足够数量的高质量干细胞。
这些干细胞是组织工程的重要“种子”。未来,利用这些从“废弃”股骨头中提取的干细胞,结合3D打印的生物支架,我们有望在体外培育出新的骨组织,甚至构建复杂的器官,实现真正意义上的“变废为宝”。
4医学教育与手术模拟
对于医学生和年轻医生而言,真实的解剖结构远比塑料模型更有教学价值。处理后的股骨头可以用于解剖学教学,帮助学生直观感受骨骼的质地、重量和内部结构。在显微外科或骨科技能培训中,它们也是练习磨钻去骨、螺钉植入等基本操作的极佳材料,帮助医生在真正上台手术前积累宝贵的手感和经验。
5结语
在全髋关节置换术中取出的股骨头,正经历着从“医疗废物”到“生物资源”的深刻转变。这一变化不仅彰显了医学技术的飞跃,更反映了人类对生命资源认知的升华。
它既是修复骨缺损的有效材料,也是探寻疾病机理的重要媒介,更是推动再生医学发展的希望之源。每一块经过妥善处理与利用的股骨头,都在以另一种方式延续其价值——不再承载单一个体的重量,而是撑起医学进步的阶梯,惠及更多生命。因此,建立规范的自体骨组织库管理制度,加强骨资源的储存与临床利用,具有深远的社会意义与科研价值。
四川骨源生物科技有限公司专注于自体骨组织库的建设,通过-196℃气相液氮深低温技术,实现自体骨组织的长期稳定保存,为相关临床应用提供了关键技术支持。